Companies / Santa Cruz Biotechnology / p-Tyr (PY99) Alexa Fluor® 594
Santa Cruz Biotechnology

p-Tyr (PY99) Alexa Fluor® 594 | Santa Cruz Biotechnology

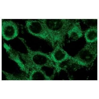
mouse monoclonal IgG2b; Phosphotyrosine (PY99) is an IgG2b κ mouse monoclonal p-Tyr antibody (also designated phospho-Tyrosine antibody or p-tyrosine antibody) that detects phosphorylated tyrosine containing proteins of broad species origin by WB, IP, IF and IHC(P). p-Tyr Antibody (PY99) is available as the non-conjugated anti-p-Tyr antibody form, as well as multiple conjugated forms of anti-p-Tyr antibody, including agarose, HRP, PE, FITC and multiple Alexa Fluor® conjugates. The critical involvement of protein tyrosine kinases in signal transduction pathways is well established. These kinases can be divided into two major groups, including the receptor tyrosine kinases and the non-receptor type kinases, of which the Src kinases are the prototypical members. Src kinases are generally associated with the internal portion of the plasma membrane and may function as signal transducers in association with surface receptors that lack an intracellular catalytic domain. The second major group of tyrosine kinases are the receptor tyrosine kinases. More than fifty members of this group of receptors, belonging to fourteen families, have been identified to date. Ligand-induced tyrosine phosphorylation of such receptors induces receptor dimerization and subsequent autophosphorylation of specific individual phosphotyrosine residues located within their cytoplasmic domains, which serve as binding sites that interact with specific cytoplasmic molecules. Monoclonal antibodies to phosphotyrosine are valuable for the characterization and purification of proteins containing phosphotyrosyl residues, and are used extensively for these purposes.

Reviews


No reviews yet

ABOUT THE COMPANY

Santa Cruz Biotechnology is a world leader in the development of products for the biomedical research market. Over the past 30+ years, the Company has focused on the ongoing development of research antibodies, siRNA and CRISPR Gene editing tools, biochemicals, labware and more recently has expanded into animal health care products. Santa Cruz Biotechnology has the highest commitment to quality and customer service.