Companies / Santa Cruz Biotechnology / PAR4 (A-10) Alexa Fluor® 546
Santa Cruz Biotechnology

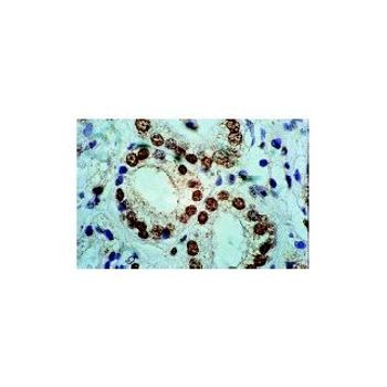
PAR4 (A-10) Alexa Fluor® 546 | Santa Cruz Biotechnology

mouse monoclonal IgG2a; PAR4 Antibody (A-10) is an IgG2a κ mouse monoclonal PAR4 antibody (also designated PRKC, Apoptosis, WT1, regulator antibody, PAWR antibody, pro-apoptotic WT1 regulator antibody, prostate apoptosis response-4 antibody, PAR4 antibody, Par-4 antibody, or NF-kB pathway antibody) that detects the PAR4 protein of mouse, rat and human origin by WB, IP, IF, IHC(P) and ELISA. PAR4 Antibody (A-10) is available as both the non-conjugated anti-PAR4 antibody form, as well as multiple conjugated forms of anti-PAR4 antibody, including agarose, HRP, PE, FITC and multiple Alexa Fluor® conjugates. Normal tissues are characterized by a balance between cellular stasis, cell proliferation, cell differentiation and cell death. Aberrant regulation of any of these cell processes can result in cancer. Cell death during embryogenesis, tissue atrophy and normal tissue turnover is called apoptosis and is characterized by cytoplasmic and nuclear condensation, nuclear disorganization and fragmentation of genomic DNA into 180-200 base pair oligomers. Five ionomycin-inducible complementary cDNAs, designated PAR1, 2, 3, 4 and 5, have been isolated from the prostate cancer cell line AT-3. Nucleotide sequencing identified PAR1 as the rat homolog of MKP-1, PAR2 as the injury-inducible gene HB-EGF, and PAR3 as the serum-induced gene Cyr61. PAR4 and PAR5 sequences were not found to correspond to any previously described proteins. PAR4 (prostate apoptosis response 4) is specifically expressed by cells entering apoptosis and is not induced during growth factor stimulation, oxidative stress, necrosis or growth arrest. The PAR4 gene encodes a protein with a putative nuclear localization signal and carboxy terminal leucine zipper.

Reviews


No reviews yet

ABOUT THE COMPANY

Santa Cruz Biotechnology is a world leader in the development of products for the biomedical research market. Over the past 30+ years, the Company has focused on the ongoing development of research antibodies, siRNA and CRISPR Gene editing tools, biochemicals, labware and more recently has expanded into animal health care products. Santa Cruz Biotechnology has the highest commitment to quality and customer service.